Tham Gia Cộng Đồng Dành Riêng Cho Bác sĩ Việt Nam
Thông báo
Cảm ơn bạn đã đăng ký tham gia Mạng lưới Bác sĩ Medisetter. Chúng tôi sẽ gửi email cho bạn sau khi đơn đăng ký của bạn đã được xác nhận.
Tải ứng dụng Medisetter Doctor Network để cập nhật thêm nhiều thông tin hữu ích
và kết nối với cộng đồng bác sĩ lớn nhất Việt Nam.
Hội Thảo Sắp Tới

CPE 8H | NÂNG CAO NĂNG LỰC QUẢN TRỊ THỰC TIỄN: THÍCH ỨNG VÀ TRIỂN KHAI HIỆU QUẢ CÁC QUY ĐỊNH MỚI TRONG QUẢN LÝ DƯỢC PHẨM
Trong bối cảnh các quy định quản lý dược và chính sách đấu thầu – bảo hiểm y tế liên tục được cập nhật, việc nắm vững tư duy quản trị và triển khai chính sách đúng chuẩn đóng vai trò quan trọng trong vận hành hệ thống y tế. Chương trình CPE 8 giờ do Trung tâm Khoa học Công nghệ UMP (Đại học Y Dược TP.HCM) phối hợp cùng Ban Dự án Cộng đồng Việt Nam – ADCREW tổ chức, quy tụ các chuyên gia và nhà hoạch định chính sách trực tiếp tham gia vào hệ thống quản lý dược tại Việt Nam. Hình thức: Hybrid - Kết hợp trực tiếp tại Nhà khách Quốc Hội, TP.HCM (165 Nam Kỳ Khởi Nghĩa, Phường Xuân Hòa) và trực tuyến qua nền tảng do Medisetter tổ chức. Điều kiện cấp Chứng nhận CPE: Sau khi tham dự đầy đủ thời lượng khóa học và hoàn thành bài kiểm tra đánh giá cuối khóa, học viên sẽ được cấp “Giấy xác nhận hoàn thành đào tạo, cập nhật kiến thức chuyên môn về Dược” (08 giờ). Cấp chứng nhận CPE (8 giờ) cho đại biểu có nhu cầu (Lệ phí: 1.000.000 VNĐ/đại biểu). 🎓 Ưu đãi từ Medisetter: Medisetter tài trợ 10 suất lệ phí cấp chứng nhận CPE (8 giờ) dành cho 10 học viên đăng ký sớm nhất và đáp ứng đầy đủ điều kiện cấp CPE của chương trình. Sự kiện được tổ chức trong hệ sinh thái PPP-P+ với sự tham gia của các đơn vị: ADCREW VIETNAM | UMP STC | BIOCODEX | SANG PHARMA | MEDISETTER.
🗓️ Thời gian: 08:00 – 17:00 | Thứ 7 | 11/04/2026
👨⚕️ Diễn giả & chủ tọa chương trình ThS.DS. Lê Xuân Hoành – Trưởng phòng Quản lý Giá thuốc, Cục Quản lý Dược, Bộ Y tế (Chủ tọa) PGS.TS. Trương Văn Tuấn – Chủ tịch Hội Dược sĩ Bệnh viện TP.HCM (Đồng chủ tọa) PGS.TS. Đặng Nguyễn Đoan Trang – Trưởng Khoa Dược, Bệnh viện Đại học Y Dược TP.HCM (Báo cáo viên)

[Chuỗi hội thảo] Buổi 1/5: Kỹ Năng Giao Tiếp Giữa Nhân Viên Y Tế và Người Bệnh
🏥 Trong môi trường chăm sóc sức khỏe, chuyên môn là nền tảng - nhưng kỹ năng mềm quyết định chất lượng tương tác giữa nhân viên y tế và người bệnh. ⚠️ Tuy nhiên, nhiều tình huống lâm sàng như bệnh nhân lo lắng, hiểu sai thông tin hoặc căng thẳng trong giao tiếp có thể ảnh hưởng đến trải nghiệm chăm sóc nếu không được xử lý phù hợp. Khả năng giao tiếp hiệu quả không chỉ giúp cải thiện trải nghiệm bệnh nhân mà còn góp phần nâng cao hiệu quả điều trị và giảm xung đột trong thực hành lâm sàng. 📚 Chuỗi training 5 buổi được thiết kế nhằm giúp nhân viên y tế phát triển các kỹ năng thiết yếu trong giao tiếp và làm việc chuyên nghiệp, thông qua các tình huống thực tế trong môi trường y khoa. 🎯 Buổi mở đầu của chuỗi sẽ giúp bạn ✅ Hiểu vai trò của giao tiếp trong chăm sóc y tế ✅ Nắm các nguyên tắc giao tiếp hiệu quả với người bệnh ✅ Nhận diện các rào cản thường gặp trong giao tiếp lâm sàng
⏰ Thời gian: 19:30 - 20:30 | Thứ 7, 21/03/2026
🎓 Diễn giả 👨⚕️ BS. PHẠM NGỌC THANH ● Nguyên Trưởng khoa Tâm lý - Bệnh viện Nhi Đồng 1, TP.HCM ● Cố vấn tâm lý OUCRU

[Chuỗi hội thảo] Buổi 2/5: Đặc Điểm Lâm Sàng và Chẩn Đoán Viêm Da Cơ Địa
Sau khi hiểu cơ chế bệnh sinh, bước tiếp theo là nhận diện bệnh trong thực tế. Biểu hiện viêm da cơ địa thay đổi theo tuổi và mức độ, không phải lúc nào cũng “điển hình như sách vở”. 🎯 Buổi 2 giúp bạn: ✅ Nhận diện đặc điểm lâm sàng theo từng nhóm tuổi ✅ Phân biệt biểu hiện điển hình và không điển hình ✅ Chuẩn hóa tiêu chí chẩn đoán trong thực hành hằng ngày 🔗 Nếu buổi 1 trả lời “vì sao bệnh xảy ra”, buổi 2 giúp bạn xác định chính xác “ai thực sự mắc bệnh”.
● Thời gian: 19:00 - 20:00 | Chủ nhật, 15/03/2026
👨⚕️ Diễn giả: ThS. BS NGUYỄN THÀNH ĐẠT 🔹Giảng viên Bộ môn Da liễu – Trường Đại học Khoa học Sức khỏe, Đại học Quốc gia TP.HCM 🔹Tốt nghiệp BS Y khoa - Khoa Y ĐHQG TP.HCM 🔹Thạc sĩ Nội khoa (Da liễu) - Đại học Y Dược TP.HCM 🔹Tác giả 02 bài báo nghiên cứu, báo cáo viên tại nhiều hội nghị da liễu lớn toàn quốc 🔹Báo cáo viên tại nhiều hội nghị chuyên ngành uy tín trên toàn quốc: ● Hội nghị Da liễu Thẩm mỹ toàn quốc lần thứ 8 ● Hội nghị Da liễu miền Trung – Tây Nguyên lần thứ 28 ● Hội nghị Laser Y học & Ngoại khoa TP.HCM lần thứ 2 ● Hội nghị Khoa học thường niên Hội Da liễu TP.HCM lần thứ 21

[Chuỗi hội thảo] Buổi 2/5: Kỹ Năng Thấu Cảm
📚 Buổi 2 của chuỗi hội thảo sẽ giúp người tham dự hiểu rõ vai trò của thấu cảm trong giao tiếp y khoa và tìm hiểu các cách tiếp cận thực tiễn để áp dụng kỹ năng này trong môi trường bệnh viện: ✅ Vai trò của thấu cảm trong chăm sóc sức khỏe và giao tiếp lâm sàng ✅ Cách nhận diện cảm xúc, nhu cầu và sự lo lắng của người bệnh ✅ Những rào cản khiến việc thể hiện sự thấu cảm trở nên khó khăn trong môi trường y tế ✅ Các nguyên tắc giúp áp dụng kỹ năng thấu cảm hiệu quả khi giao tiếp với bệnh nhân và người nhà
⏰ Thời gian: 19:30 - 20:30 | Thứ 7, 28/03/2026
🎓 Diễn giả 👨⚕️ ThS. NGUYỄN QUỐC GIANG ● Thạc sĩ Công tác Xã hội – Asian Social Institute (Philippines) ● Điều phối viên cao cấp, Kết nối khoa học với Công chúng – OUCRU
Hội Thảo Gần Đây

XEM LẠI HỘI THẢO TRỰC TUYẾN
Buổi 3/3: Catheter huyết áp động mạch xâm lấn & Catheter lọc máu
👨⚕️ BS. CKI. LÂM THIÊN HUỆ 🔹Hiện công tác tại Khoa Hồi sức tích cực – Chống độc, Bệnh viện Gia An 115, BS CKI Lâm Thiên Huệ có nhiều năm kinh nghiệm thực hành trong lĩnh vực Hồi sức Cấp cứu, đặc biệt là các kỹ thuật chăm sóc và quản lý người bệnh nặng. 🔹Là bác sĩ tư vấn sức khỏe và từng được UBND TP.HCM khen thưởng vì đóng góp xuất sắc trong công tác phòng chống dịch Covid-19.

XEM LẠI HỘI THẢO TRỰC TUYẾN
Cập Nhật Chẩn Đoán và Điều Trị Vô Sinh Nam – Các Hướng Điều Trị Mới
👨⚕ ThS.BS. VŨ ĐỨC CÔNG, Bác sĩ Nam khoa – Ngoại niệu, Bệnh viện Mỹ Đức

XEM LẠI HỘI THẢO TRỰC TUYẾN
Buổi 2: Cập Nhật Chẩn Đoán & Điều Trị Ung Thư Vú Giai Đoạn Tiến Xa (CME)
🎤 Diễn giả: 👨⚕ Chủ tọa: Thầy thuốc ưu tú - BS. CK II. Võ Đức Hiếu – Phó Giám đốc Bệnh viện Ung Bướu TP. HCM. 👨⚕ ThS. BS. CKII. Phan Tấn Thuận – Trưởng phòng Chỉ Đạo Tuyến - Bệnh viện Ung Bướu TP. HCM. 👨⚕ TS. BS. Nguyễn Hoàng Quý – Phó trưởng Khoa Nội Tuyến Vú Gan Niệu, Bệnh viện Ung Bướu TP.HCM, Giảng viên khoa Ung Bướu, ĐH Y Dược TP. HCM.

Giải Quyết Mâu Thuẫn Giữa Các Đồng Nghiệp Trong Ngành Y Tế
Hội thảo lần này mang đến cơ hội để nhân viên y tế: 🔹Nhận diện nguyên nhân gốc rễ của mâu thuẫn trong công việc. 🔹Trang bị các kỹ năng giao tiếp, đàm phán và xử lý tình huống thực tiễn. 🔹Xây dựng tinh thần đồng đội bền vững, hướng tới môi trường y tế nhân văn và chuyên nghiệp.
Diễn giả: 👨⚕ Bác sĩ PHẠM NGỌC THANH 👨⚕Thạc sĩ NGUYỄN QUỐC GIANG
- Bài Viết Nổi Bật
- Nghiên Cứu Y Khoa

- 24
- February, 2026
CHẨN ĐOÁN PHÙ HỢP NHẤT Ở BỆNH NHÂN NÀY LÀ GÌ?
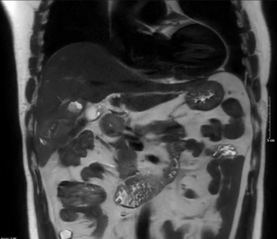
Nam 66t, ngứa toàn thân, đau HSP; ăn rau sống. EOS↑, Fasciola Ab(+), MRI tổn thương gan gợi viêm/áp xe.

- 8
- May, 2025
CÙNG THỬ CHẨN ĐOÁN QUA HÌNH ẢNH SAU
Bệnh nhân nữ 28 tuổi đến khám vì xuất hiện ban đỏ đau rát ở mặt sau đùi phải.

- 6
- May, 2025
"BẦU TRỜI ĐẦY SAO" TRONG NÃO - DẤU HIỆU CỦA BỆNH GÌ?
Một người đàn ông 57 tuổi đến khoa cấp cứu vì đau đầu, đau cổ và tê tay phải kéo dài.

- 7
- May, 2025
NHỒI MÁU CƠ TIM – KHÔNG CHỈ CÓ MỘT HÌNH THÁI!
Sau hơn 50 năm nghiên cứu, Hiệp hội Tim mạch Canada (CCS) đã công bố một hệ thống phân loại mới cho tổn thương cơ tim sau tái tưới máu, nhấn mạnh rằng “mức độ và loại tổn thương” mới là yếu tố quyết định điều trị và tiên lượng, chứ không đơn thuần là "có tái tưới máu hay không"

- 5
- May, 2025
TĂNG ĐƯỜNG HUYẾT DO STRESS – “DẤU HIỆU CẢNH BÁO” TỬ VONG Ở BỆNH NHÂN ĐỘT QUỴ XUẤT HUYẾT?
Một nghiên cứu mới trên gần 1.800 bệnh nhân ICU cho thấy: SHR (Stress Hyperglycemia Ratio) càng cao → nguy cơ tử vong càng lớn, kéo dài đến tận 1 năm sau nhập viện.

- 2
- May, 2025
COLCHICIN SAU NHỒI MÁU CƠ TIM – GIẢM VIÊM CÓ ĐỒNG NGHĨA VỚI GIẢM BIẾN CỐ?
Medisetter xin gửi đến bác sĩ bản tóm tắt trực quan từ một thử nghiệm ngẫu nhiên lớn (trên 7062 bệnh nhân) nhằm trả lời cho câu hỏi này.

Lý do tham gia Mạng lưới Bác sĩ Medisetter?

- Mạng lưới kết nối: kết nối với đồng nghiệp, bạn bè và chia sẻ các ca lâm sàng cũng như giới thiệu và học hỏi lẫn nhau.

- Tăng thu nhập: đăng ký tham gia các cuộc khảo sát nghiên cứu thị trường và các cơ hội hấp dẫn khác.

- Học hỏi: truy cập miễn phí vào nội dung cập nhật trên toàn thế giới bao gồm hội thảo của bác sĩ nổi tiếng, ấn phẩm nghiên cứu, cập nhật về thuốc, hướng dẫn lâm sàng và nghiên cứu điển hình từ khắp nơi trên toàn cầu.

- Nhận chứng nhận CME: tham gia các sự kiện CME để có được chứng nhận đào tạo y khoa liên tục.
- 30,000
- Bác Sĩ đã tham gia Cộng đồng Medisetter
- 98%
- Bác Sĩ trong Cộng đồng Medisetter cho biết sẽ giới thiệu chuỗi hội thảo khoa học của chúng tôi cho đồng nghiệp của mình
- 90%
- Bác Sĩ cho rằng những kiến thức được chia sẻ trong Cộng đồng Medisetter hữu ích cho công việc
- 4.8*
- Chuỗi hội thảo khoa học đã được các Bác Sĩ tham gia chấm trung bình 4.8/5 điểm
- 250+
- Chuyên gia y khoa quốc tế đã và đang tham gia các buổi hội thảo khoa học hằng tuần
- 5+
- Hội thảo trực tuyến mỗi tháng với các bác sĩ nổi tiếng trên khắp thế giới, cùng với hàng trăm bài đăng và các cuộc thảo luận về các ca lâm sàng mỗi tháng
THÀNH VIÊN CỦA CHÚNG TÔI NÓI GÌ?

- Chuỗi hội thảo chủ trì bởi các chuyên gia nổi tiếng thế giới với tần suất hằng tuần thực sự là điểm nhấn khiến Medisetter vượt trội trong hoạt động kết nối Bác Sĩ
BS Xuân Trần

- Là một trang hay giúp mọi người tiếp xúc với những kiến thức mới nhất.
BS Hồng Thiên

- Giao lưu, hợp tác chuyên môn, nâng cao tay nghề, và phát triển kinh tế
BS Trung Hiểu

- Cơ hội trao đổi kinh nghiệm với các Bác Sĩ trong và ngoài nước cùng chuyên ngành
BS Hồng Dương

- Cám ơn Medisetter... động lực để anh em BS cống hiến thêm cho cộng đồng!
BS Thanh Điền